Vue 4 cavités
- Marqueur sur l’apex en axial
- Inclinaison de la vue vers le haut
!
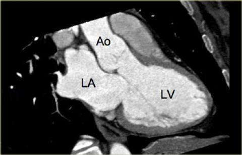
Vue 3 cavités (long axe apical)
- Marqueur sur le bord entre valve mitrale et aortique
- Rotations
- Vue de la chambre de chasse G, OG et VG

Vue 5 cavités
- 4 cavité + chambre de chasse G
- Partir de 4 cavité et rotation craniale

Vue 2 cavité
- Perpendiculaire à la valve mitrale
- Parralèle au septum

Segments Cardiaques

Plan plans segment segments 17 segmentations carte cartographie zone zones coeur cardiaque oeil bullsex bulleye beuff boeuf bull bulls bull’s eye bulley bullseye taureau toreau oeil bulleye