Generalité
- Primaire++
- Secondaire (sur tumeur, sténose, vagotomie, maladie de Chagas)
- Traitement: POEM = Per-Oral Endoscopic Myotomy
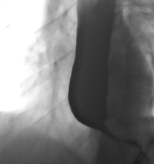
TOGD
- Dilatation de l’oesophage
- Bec d’oiseau à la jonction Oeso-gastrique
- Différencier l’Achalasie primaire (on voit des relaxations du sphincter) d’une Achalasie secondaire (sur carcinome++, qui reste fixée)

achalasie acalasie achalasia acalasie esophage esophagienne oesophagienne myotomie beck bec oiseau oisau bird pseudo beak canard