Général
- Pattern du sein normal
- 50% des femmes entre 30 et 50 ans
- Se calme à la ménopause (en lien avec les hormones)
- Tissus fibreux et kystes
- Peut causer des douleurs ou gonflements, masses
- N’augment PAS le risque de cancer du sein

Mammogaphie
- Compliquent la lecture
- PAS un diagnostic mammographique
- Seins Denses
- Kystes
- Calcifications en lait de calcium
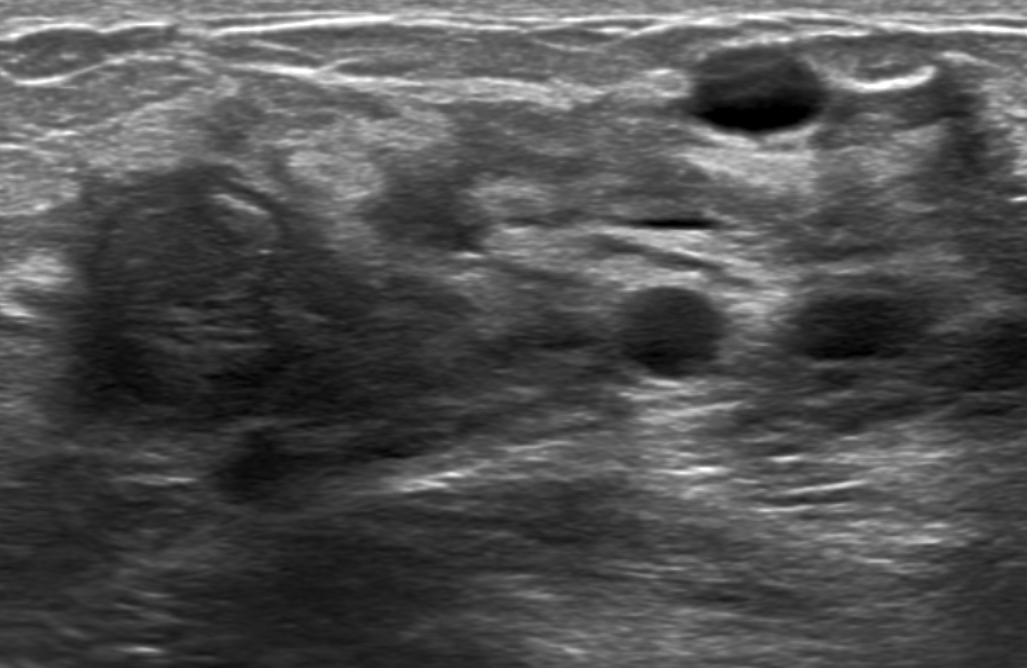
US
- Multiples kystes

fibro-kystique cstic fibrocystic fibro-kystique fibrojystique