TOGD
- Filling defect serpigineux péjoré en position couchée
- Varices hautes = Obstruction de la VCS
- Varices basses = Hypertension Portale

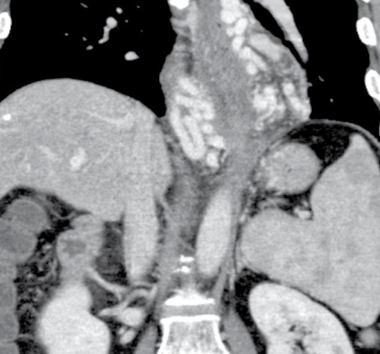
CT

varices de l’oesophage voies voie de dérivation porto systémiques HTP
1 min read
TOGD

CT

varices de l’oesophage voies voie de dérivation porto systémiques HTP