General
Métastases Calcifiées
- Ostéosarcomes
- Chondrosarcomes

Métastase Cavitaires
- Carcinome Epidermoide ++ (ORL et Poumon)

En Miliaire
- Tumeur vascularisées: rein, sein, mélanome, thyroïde

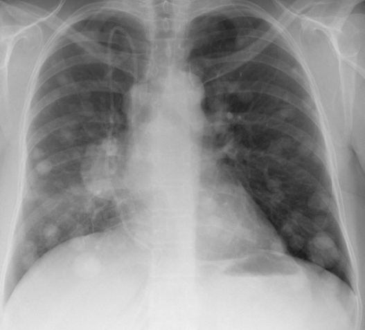
Lacher de Ballon
- Carcinome Rénal ++
Cannonball en anglais
Distribution vasculaire = Prédominent aux plages inf.
Cas
Metastases Costales
Meta de liposarcome
Lacher de Ballon

meta méta métas metas mx metastase métastase