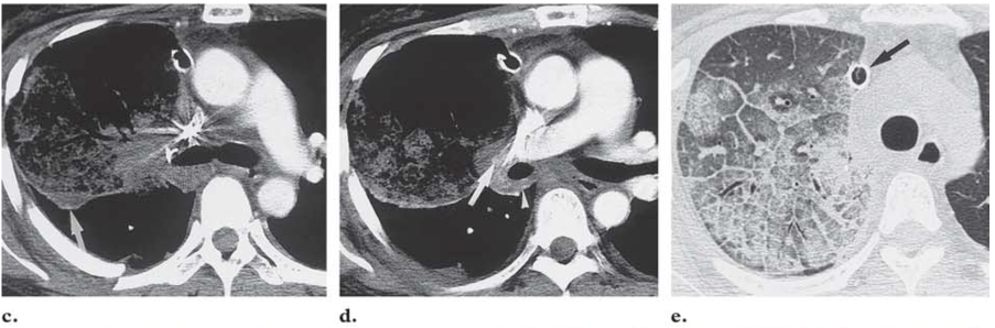
General
- Rare+++ complication post-op
- Ce qui est bien plus fréquent = atelectasie post-opératoire (espece de kink de la bronche deplacée du LM ou de la lingula post segmentectomie supérieure++)
- Ce qui est plus fréquent = avoir coupé la mauvaise veine
- Interruptions vasculaires en région hilaire ++
- Oedème interstitiel et alvéolaire ++
- Clinique du patient très mauvaise ++++

————————————————————————————————————
REF: Radiographic and CT Findings in Complications Following Pulmonary Resection
lung torsion engorgement renaud renato poumon lungs parenchym lobe lobaire rotation torsion incarcération