Général

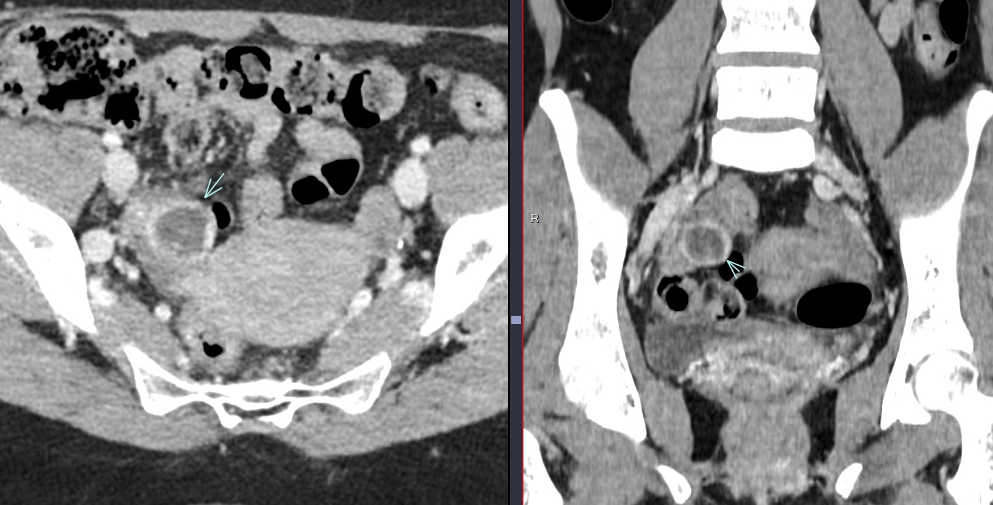
  • Aspect en “huitre” avec kyste “vidé” et prise de contraste périphérique (ring of fire)

7b2c4b86c489d9bd5604cb1418324f28.png 4eb24b46129134d815370259450c3336.png


Cas


kyste ovarien corps jaune luteum regles prémenstruel albicans