Pacemaker/Defibrillateur
Schema

- 1: Atrium droit dans l’auricule (doit faire un U)
- 2: apex droit (passe par la valve tricuspide)
- 3: Ventricule gauche (passe par le sinus coronaire, termine dans une veine cardiaque postérieure)
- 4: Stimulateur cardiaque epicardique (souvent post-chirurgie cardiaque pour surveillance)
Defibrillateur
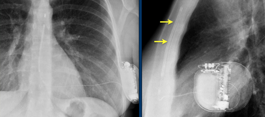
- Aspect épaissi = coils de défibrillation
Auricule droit + ventricule gauche + PM ventricule droit avec 2 coils de défibrillation le long du cable
Pacemaker sans fil “Micra”
- Implanté dans l’apex du ventricule droit par voie fémorale

Defibrillateur sous-cutané
- Sonde de défibrillateur pré-sternale
- Ne peut pas faire de fonction de pace

Stimulateur cardiaque epicardique
- Ressemblent à des écouteurs d’iphone
- Parfois laissés en place

Moniteurs cardiaques implantables sous-cutanés
Reveal
Complications
- Pneumothorax
- Fracture de sonde
- Dislocation de sonde
- Malposition
- Infection
- Perforation
- “Twiddler Syndrome” = quand le patient joue avec les cables sous la peau et que ca les twist et les disloquent.

fracture du cable

Twiddler syndrome (avant / après)
Medtronic 4968 (fausse fracture)

Capteur de Pression endo-arterielle pulmonaire
CardioMEMS
Cas
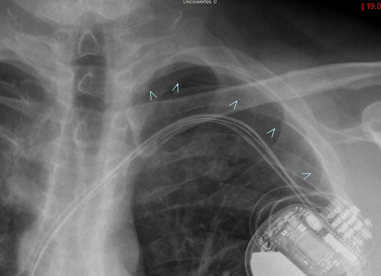
Malposition des sondes
Sonde qui a travesé le VD
Malposition de l’extremité qui se balade dans la veine innominée G
Pneumothorax post-Ponction

pace pacemaker pneu pneumothorax compliecation complication boitier tri cameral caméral tricameral pace maker défibrillateur