Hernies de la paroi
Hernie para-ombilicale

Paroi normale

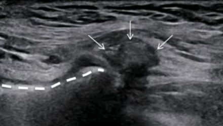
Hernie
Hernie de Spiegel

Hernies inguinales
Technique
- Sonde pointe un peu vers le nombril
- Aligner VX fémoraux - VX epigastriques - Droit abdomen
- Repères anatomiques:
- Vx épigastriques inférieurs (les suivre depuis en haut si doute) = 1 artère 2 veines
- Cordon spermatique
- Muscle droit de l’abdomen

Coupe standard
Ne pas confondre avec le cordon spermatique qui part entre deux

En vrai il y a 2 veines épigastriques inf
Hernie inguinale indirecte

Hernie inguinale directe

Coupe sagittale
- Confirme l’hernie
- Mesure le collet

Diagnostic differentiel
- Suspect si
- Pas de peristaltisme
- Pas de changement au valsalva
- DD
- Contenu graisseux
- Masse du cordon spermatique
- Adenopathie
Hernie fémorale
Technique
- Permet de tester le valsalva
- Repères anatomique
- Vx fémoraux
- Muscle pectiné
crural crurale femoral



Test du valsalva
Hernie fémorale

Chirurgie
Filet
- Au niveau de l’orifice inguinal profond
- Trou pour laisser le cordon spermatique
- Masque tout en echo (bande hyperechogène et cône d’ombre)
- Complications
- Récidive en bord de plaque
- Fréquemment un aspect ondulé (banal)
- Retraction nodulaire: Pathologique (fait des douleurs)
- Lymphocèle du corodn
- Hématome du cordon
- Varicocèles du cordon

Récidive en bord de filet


Filet qui masque tout

Aspect ondulé

Retraction nodulaire pathologique

Filet au CT
hernie hernies abdomen paroi inguinale inguinales