General
- Infection fongique opportuniste
- Patients HIV (<200 CD4) = infection insidieuse
- Patients immunosupprimés autres = infection aigue (fièvre, toux, dyspnée)
- Exsudat mousseux dans les alvéoles
- β-D-glucane a une bonne VPN
- Diagnostic par LBA (spécificité vers 100%, sepcificité moins bonne)
- Possible de le diagnostiquer dans les expecto induites si LBA pas possible

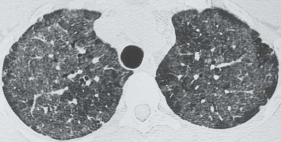
CT
- Patchs de VD bilatéral
- Crazy paving
- Central, péri-hilaire
- Prédominance dans les plages supérieures et péri-hilaire
- Pneumatocèles = Kystes septés, à paroi épaisse (Risque de pneu)
patchs de VD bilatéraux, lobes sups
Pneumatocèles = Kystes septés, à paroi épaisse
Cas
PCP kystique avec pneumothorax, SIDA
Pneumocystose pneumo jorivenci jancovici jiro joiv jroveci jiroverci jirovercii jiroveci