Général
- L’aspergillus n’infecte normalement pas une personne saine avec une immunité normale et des poumons structurellement normaux
- ABPA = patient avec hyperimmunité allergique à un aspergillus colonisant (mais non invasif)

ABPA (Aspergillose Broncho-Pulmonaire Allergique)
- Asthmatiques++ ou Mucoviscidose
- Expectorations oranges/brunes
- Réaction IgE médiée avec:
- bronchospasme
- oedeme pariétal bronchique
- bronchiectasies à long terme prédominant aux lobes sups
- bouchons muqueux (bronchoceles avec finger-in-glove sign)
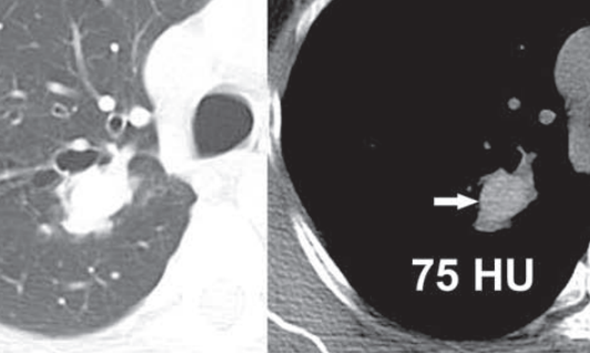
- granulomatose broncho-centriques (impaction de mucus dense >70 HU, 30% des cas)
Finger in glove, bronchiectasies
impactions avec mucus dense
Cas
Patient avec ABPA récurrent
APBA ABPA ABBPA aspergilose asperge aspergillose aspergillus aspergilus aspergilose bronchopulmonaire granulomes broncholite broncholites bronches abbpa appba apba apbba abppa apbb ABA ABBA APA APPA lith lithiases alergique allergie