Schema

Placement normal VVC
- IVC ou jonction cavo-atriale
- “Bien placé” dépend de la fonction attendue de la VVC
Types de voie veineuse
- Centrale = jug ou sous-clav (PAC = un type de voie centrale pour patients sous chimio)
- Périphérique = PICC line
Malpositions
- Atrium droit (risque d’arythmies)
- Veines ipsi ou controlatérales
- Veine Azygos
- Veine thoracique interne
- Variante: VCS gauche persistante (VCS G → Sinus C → OD)
- Artère carotide
Complications
- Pneumothorax
- Hémomédiastin

VVC inserée dans l’artère subclavière droite

VVC remontée dans l’autre tronc veineux brachiocéphalique

Veine Azygos
VCS gauche persistante

Artère Carotide

Perforation, Pneumothorax et Hémomédiastin

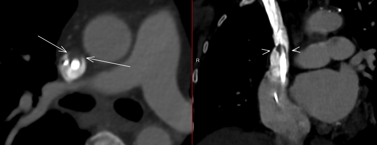
Cas
Thrombus

VVC places placees placées placés malposition position PAC PACC porte port-a-cath port a cath portacath porteacath porte-a-cath tubes placees place
Voie veineuse centrale