Général
- Signal de la Graisse au CT et IRM
- Pericalleux++ (associé à l’agénésie du corps calleux)
- Citerne Quadrigéminale (associé à l’agénésie du collicule inférieur)
- Suprasellaires
- Angle ponto-cérébelleux

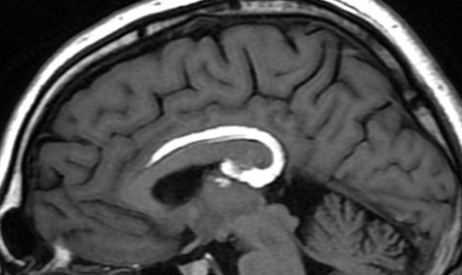
Lipome péricalleux
- Antérieur: tubulonodulaire
- Postérieur: curvilinéaire
- Rechercher des malformations du corps calleux associées

Antérieur, tubulo-nodulaire

Postérieur: curvilinéaire
lipome intra crane crâne crânien cranien intracrânien