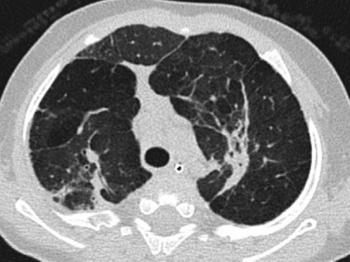
Général
- Complication chronique d’une maladie des membranes hyalines
- Enfants Grands Prématurés ++ <32 semaines
- Souvent évolue bien
RX
- Zones d’hyperinflation et d’atélectasies
- Epaississement interstitiel (exsudat d’éosinophile)

bronchopulmonaire broncho pulmonaire poumon poumons lungs dysplasia