Dextrocardie
- Les autres organes (dont l’aorte) sont correctement positionnés
- Levocardie = terme normal

Situs inversus
- Inversion des organes thoraco-abdominaux
- Les gens normaux sont appelés “Situs Solitus”
- Associé au syndrome de Kartagener
- Indépendant de la position du coeur, il y a des situs inversus avec dextrocardie (plus fréquent+++) ou levocardie (rare)
- Situs inversus “totalis” si tous les organes sont inversés

Valve d’Eustache
- Valve de la veine cave inférieure
- Bord épais de l’oreillette droite inférieure



Valve de Thebestian
- Valve du sinus coronaire



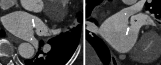
Coumadin Ridge
- Bande résiduelle dans l’oreillette gauche
- Sépare l’oreillette des ostiums des veines pulmonaires


Tehbestian Tebestian Tebestien ThebestienRidge coumadine coeur left lateral ridge coumandine coumarine wafarine warfarine bord
Eustachian valve