Central vs Périphérique

Vertige périphérique
Clinique et Causes
- VPPB: Vertiges brefs à la position de la tête
- Menière: Vertiges par épisodes + tinnitus + perte d’ouie
- Nevrite vestibulaire Vertige continu avec un IVRS
- Labyrinthite Vertige continu avec un IVRS + perte auditive
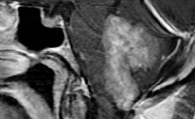
- Tumeur de l’Angle Ponto-Cérébelleuse
- Schwannome vestibuliare (Neurinome accoustique)
- Méningiome
- Kyste épidermoide
- Otospongiose : (otosclérose)
- Fistule périlymphatique : Communication oreille Moyenne ←> Interne
Vertige central
Clinique
- Vertige continu, non positionnel
- Atteinte d’autre nerfs craniens
- Instabilité à la marche
Causes
- AVC de la FP (URGENCE++)
- Tumeur de la FP
- SEP


AVC fosse postérieure
!
Tumeur: Ependymome

Sep
vertiges central VPPP VBPP VPBB VBBP VPPB vertige périphérique positionel positionnel bénin begnin peripherique