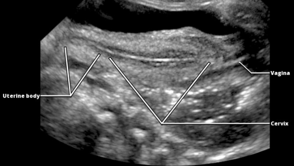
Uterus Néonatal
- Proéminent (hormones maternelles)
- Le Col plus large que le corps

Uterus Infantile
- Corps < Col (1:2)

Uterus Prépubaire
- Corps = Col (1:1)

Utérui Pubère
- Corps > Col (2:1)

Utérus Post-ménopause
- Réduction en taille
- Comme un Pré-pubaire

Compte-Rendu
- Mesure uterus : longueur, epaisseur
- Ligne de vacuité:
- Kystes ovariens, Follicules ovariens
puberté précoce hypogonadisme mesures taille utérus uterus uterin utérin uterine utérine neonatal nouveau enfnat enfant