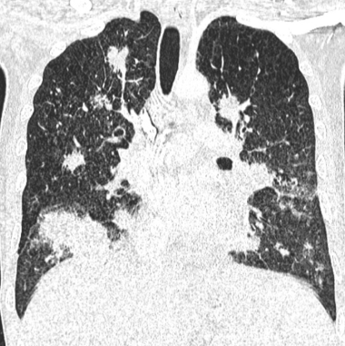
Général
- Patients HIV <200 CD4++ ou Patients Transplantés ++
- Condensations nodulaires mal définies, “en flamme”
- Péribronchovasculaire
- DD: Lymphome lié au SIDA (2e plus fréquent)


kaoposi aids sida vih hiv lung poumon poumons thorax thoracique sarcoma