Général

General
Clinique
- Asymptomatiques++
- Dangereuse si shunt important (suivant ou va le sang)
Complexité
- Simple = Une connexion
- Complexe = Multiples branchements
Fistule Coronaro-Camérale
- Les plus fréquemment vues en Coronarographie
- Drainage dans le VD ++

Fistule Coronaro-Pulmonaire

Fistule Coronaro-Bronchique

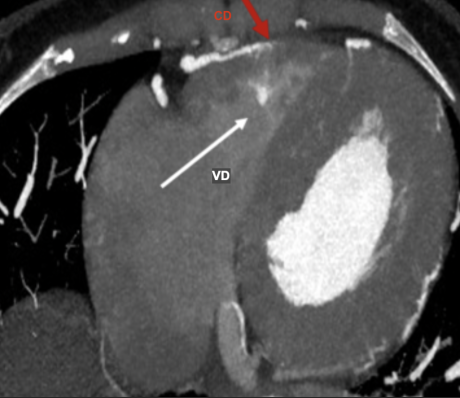
Cas
Fistule Coronaro-Camérale
Fistule CD-Atrium Droit massive avec thrombus, secondaire a une erosion d’angiosarcome
Ref
Coronary artery fistulas: CT findings
fistule coronaire corronaire corronarienne fistula fistuleux CPAF fistuleuse