Général
- Maladie autosomique dominant du tissus conjonctif
- Mutation du gène fibrilin-1 (FBN1) → microfibrilles alterés → Atteinte de l’Elasticité
- Souvent jeunes athlèthes (du à la haute stature)
- Aspect génétique avec importante variabilité intra-familliale
- https://www.marfan.fr/accueil/zscore/ (Adulte = Devereux, <15 ans = Gautier)
- Mesurer pour le Z-Score les sinus de valsalva et l’aorte tubulaire (=ascendante)
- Norme du Z-score entre +2 et -2

Morphologie du Patient
- Patients avec haute stature et doigts longs (Pas chez Ehler-Danlos)
- Pectus excavatum
- Articulations Hypermobile, Peau Hyper-extensible
- Scoliose
Risques
- Risque mortel surtout sur les Dissections aortiques
- Ectasie annulo-aortique avec insuffisance valvulaire
- Anévrismes aortiques
- Dissections aortiques
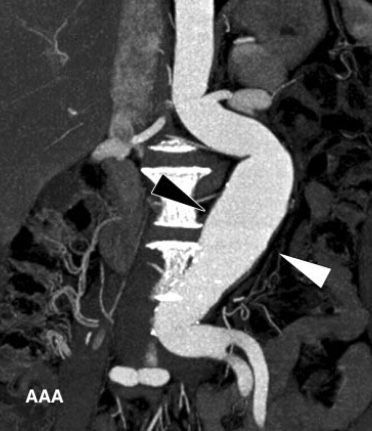
Aorte
- Dilatation de la racine aortique (annuloaortic ectasia) → Insuffisances Valvulaires ++ (progresse sinus → SJT → anneau)
- Anévrismes Aortiques (Aortes peu calcifiées car patients jeunes)
- Dissections Aortiques (Parfois récurrentes avec des dissections en Triple Canon)


Tronc pulmonaire
- Dilatation du Tronc pulmonaire

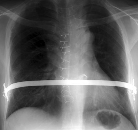
Colonne Vertébrale
- Scolioses (fréquent et sévère)

Paroi Thoracique
- Pectus Excavatum (Chir si index de Haller > 3.4)
- Pectus Carinatum


Doigts
- Arachnodactylie = Ne se voit pas dans l’Ehler-Danlos

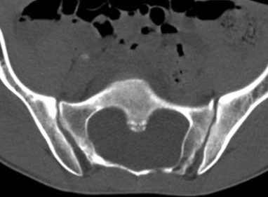
Canal Lombaire
- Ectasie durale (en général peu symptomatique)

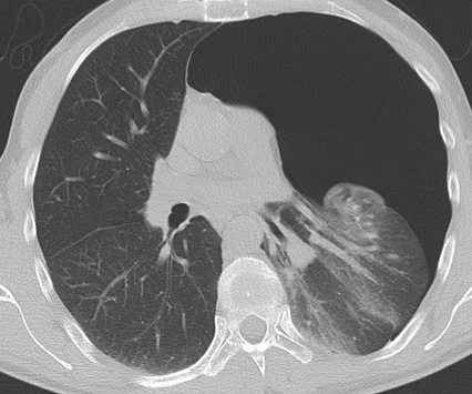
Pulmonaire
- A risque de Bulles et donc de Pneumothorax

Occulaire
- Ectopia Lentis = Luxation du Cristallin (Spécifique pour Marfan)

Reférence https://pubs.rsna.org/doi/epdf/10.1148/rg.274065171
Campens: https://pubmed.ncbi.nlm.nih.gov/25092193/
Z score Campens Mafran marfan eler Arachnodactyle pectum arachno araignée araignées araignee araignee doigts digits dactylus dactyli dactylie excavatus fibrillin z score z-score zscore score scores ZSC marfan mafran de vereu vereux devereu devereux deneveu deneveux neveu neveux gauthier gauter campen campens campan campens gauthier gautier gatier zscoring