Leukodystrophy leukodystrophies fibrinoid fibrinoide leucodystrophy
General
- Groupes de maladies Génétiques Rares
- Déficits d’enzymes → Accumulation de métabolites Toxiques
- Hypersignaux T2/FLAIR de la substance blanche Symmétriques
Adrenoleukodystrophie liée à l’X
- Atteinte postérieure
- Touche les males ++
- Touche les Surrénales
- Réhaussement

Maladie d’Alexander
- Atteinte frontale
- Mutation de GFAP → Depots de Fibres de Rosenthal dans les Astrocytes → Demyélinisation
- Crises d’Epilepsies, retard de developpement
- Forme infantile, juvéniles ou adultes
- N’epargne pas les fibres en U
- Prédominance frontale
- Tete de noyaux caudés > Globus Pallidus > Thalamus > Tronc Cérébral
- Pprise de contraste


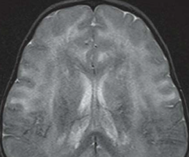
Leucodystrophie Métachromatique
- La plus fréquente
- Confluent, périventriculaire (cornes frontales++)
- Epargne les fibres en U

Maladie de Canavan
- Mort a 5ans
- Macrocéphalie
- Leucodystrophie symétrique (touches les fibres en U)
- NAA très élevé

Autres
- Krabbe
- Pelizaeus-Merzbracher
Leukodystrophy leukodystrophies fibrinoid fibrinoide leucodystrophy meta méta chromatique metachromatique métachromatique pelizeus pelizus mezbracher mezbacher merzbacher krabe crabbe crabe