Classification

Wegener (Granulomatose avec Polyangéite GPA)
- Atteinte pulmonaire++ (nodules cavitaires et trachée)
- c-ANCA
- Atteinte ORL = Sinusite Chonique
- Atteinte Reins = Insuffisance Rénale
- Atteinte Cardiaque


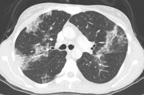
Churg-Strauss (Granulomatose Eosinophilique avec Polyangéite EGPA)
- Eosinophilie sanguine
- p-ANCA
- Pneumonie a Eosinophille
- Plages de verre dépoli bilatérales
- Asthme
- Rhinite allergique
- Atteinte Cardiaque = dangereux

vasculite takayatsu hénoch henochschonlein schönlein gwgner wegner polyarterite nodosa polyarthrite Gignatocellulaire arteritis arterite artérite aortite aortitis athérite arthrite eosinophil éosinophil polyangite polyangeite polyangéite poly angit angéite angeite