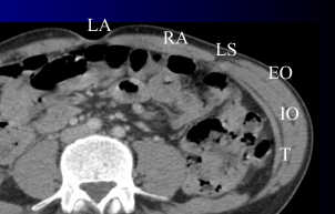
Anatomie


Ligne blanche (LA), Muscle droit (RA), Ligne semi-lunaire (LS), Obliques (Externe (EO), Interne (IO), Transverse (T))
Hernies de la ligne blanche
- Epigastrique (supra-ombilicale)

- Omblilcale

- Hypogastrique (Infra-ombilicale)

Hernies de Spiegel
- Sur la ligne semilunaire
- Rares

Hernies Lombaires

Hernies inscisionelles
- Sur l’inscision chirurgicale

Hernies parastomiale
- Dans le collet des stomies
!
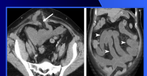
Hernies Obturatrices
- Femme agée et maigre
- Très rare
- CT Pathognomonique: Anse entre le muscle obturateur externe et le muscle pectiné
hernie herniation abdomen