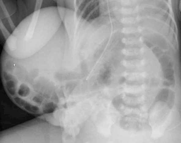
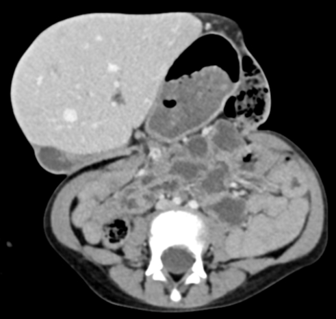
Général
- Défaut de fermeture de la paroi abdominale antérieure
- Defaut de retour des viscères dans le ventre (Parfois le foie)
- Restent dans un sac, connecté au cordon ombilical
- Anomalies associées ++
- TTT chirurgicale (fermeture à la naissance)

Babygramme
- Masse centrée sur la ligne médiane contenant du digestif
- Chercher d’autres malformations

CT Scanner

DD Gastroschisis
omphalocèle omphalocele