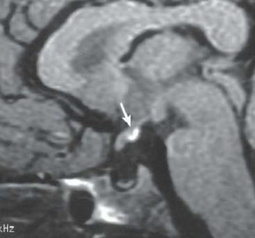
Général
- Dans le syndrome de panhypopituitarisme
- glande pituitaire atrophique
- petite selle turcique
- tige pituitaire atrohpique
- Migration ectopique de l’hypersignal T1 spontané de la post-hypophyse


Post-hypophyse posthypophyse ectopique ectopie pituitare postérieure antérieure anthypophse antéhypophyse hpyoph anté-hypophyse neurohypophyse neuro-hypophyse ectopie panhypopituitaire pan-hypopituitarisme inssufisance pituitaire globale