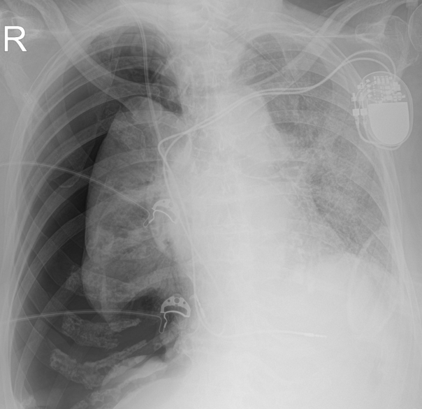
Général
- Diagnostic clinique
- Signes de choc (compression du retour veineux, hypotension)
Signes Surajoutés
- Déviation du médiastin
- Abaissement de la coupole diaphragmatique
- Ecartement des cotes




penumothorax
1 min read
Général
Signes Surajoutés




penumothorax