Général
- Pneumoconiose (Asbestose, Silicose, Anthracose, Béryliose )
- Exposition profesionnelle
- Béton ++
- Mines et Carrières
- Souffleur de verre (la silice est dans le sable)
- Prothésiste Dentaire
- La forme chronique arrive après 10-20 ans d’exposition
- Risque de cancer augmenté (risque multiplié si patient aussi tabagique)
Silicose Aigue (Silicoprotéinose)
- Beaucoup moins fréquente
- Exposition à une forte quantité de silice
- Arrive entre quelques semaines et 5 ans
- Rapidement progressive, souvent fatale à 1 an
- Remplissage alvéolaire protéino-acineux comme dans la protéinose alvéolaire
- Peu de dépot de collagène et de fibrose contrairement à la chronique
- Patchs de verre dépoli ou de crazy paving (comme dans la protéinose alvéolaire)
- Consolidations avec calcifications

Silicose simple
- Nodules centrolobulaires + sous-pleuraux (sarcoïdose = péribronchovasculaire + scissural)
- Parfois pseudoplaques sous pleurales
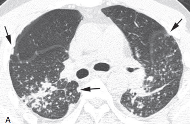
- Prédominants aux lobes supérieurs
- Pas de fibrose
- ADP en coquille d’oeuf (suggestif, non specique), plus fréquement encore celles avec calcifications ponctiformes
- De multiples nodules de silicose peuvent mimer une miliaire
Nodules périlymphatiques, centrolobulaires, sous-pleuraux (pseudoplaques)
Silicose Compliquée
Fibrose massive progressive
- Conglomerats de nodules → Masses (parfois calcifiées)
- Fibrose des lobes supérieurs (asbestose = lobes infs.)
- Emphysème centrolobulaire focal
- Adénopathies hilaires calcifiées (si Coquille d’oeuf = pathognomonique)
Masses, fibrose des lobes sup.
Masses calcifiées
calcifications en coquille d’oeuf (eggshell)
Silicotuberculose
- La silicose augmente de 3x le risque d’avoir une TB
- Penser à la TB si il y a une caverne dans une Silicose

Syndrome d’Erasmus
- Association Silicose + Sclerodermie
- risque 110X de développer une sclérodermie si silicose)

Syndrome de Caplan
- Silicose + PR
Silico-Sarcoïdose
- Existe aussi
eggshell egshel chronique capla calpan kaplan kalpan eggshell egg shell tbc ersamus tuberuclosis sillicose erasmus penumoconios pneumoconniose compliquée galax glaxie galaxis galay galaxy silico sillico proteinose proteine protéine proteinose protéinose silicoproteinose silicoprotéinose sillicoproteinose sillicoprotéinose complex progresive complexe masive fibrose fibrosis