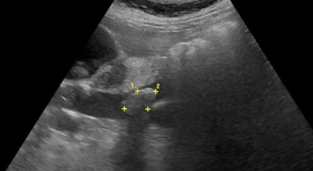
• US peu sensible
  • Dilatation du Cholédoque >6mm (+1mm/10ans)
  • Visualisation d’une lithiase (+- Twinkling Artefact)
  • Dilatation des VBIH

98d32d292c7ecf9c0f1fa01c973794c0.png

choledoque