Généralités
- Maladie du autoimmune avec fibroses multi-systémique et calcifications
- Atteinte Dermatologique only vs multi-organes
- Anticorps anti Scl-70, anti-centromère
- Syndrome de Raynaud
- Dysmotylité oesohpagienne
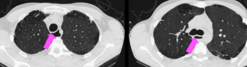
Thorax
- Fibrose Pulmonaire Interstitielle (NSIP++ ou UIP)

Pattern UIP avec rayon de miel
Abdomen Supérieur
- Stase oesophagienne
- Dilatation et epaissement pariétal de l’oesophage

Mains**
- Acro-ostéolyse: resorption des houppes phalangiennes + calcifications
- Clinique: Syndrome de Raynaud

Tissus Mous
- Calcifications

sclérodermie systemic sclersosi