Général
- Occlusion des veines sus-hépatiques (partielle ou complète)
- Rare
- Hypertension portale post-sinusoidale rapide
- Ascite rapidement progressive
- Chercher la thrombose porte associée (20% des cas)
- Idiopathique (30%)
- Hypercoagulabilité (Cancer, Pilule, Sepsis,… )
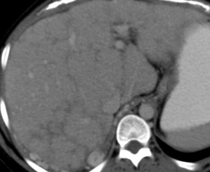
US
- Foie hétérogène (nutmeg liver)
- VSH peu claires, atténuées, flux inversé, thrombus
- VCI avec flux faible

CT
- Foie hétérogène, troubles de perfusions
- Thrombose de sus-hépatiques
- Hypertrophie du caudé (drainage propre)

Cavographie
- Veinules hépatiques en toile d’araignée “spider-web”

Traitement
- Shunt portosystémique (TIPS)
- Transplantation hépatique(TTT définitif)
- Veinoplastie (Stent)


Schema

bud budd chiari buddchiari sushepatique sus hépatiques sus hepatiques