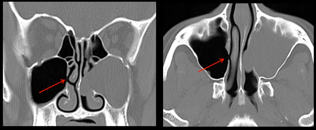
Général

  • Type de polype nasal
  • part du sinus maxillaire, s’étend dans la cavité nasale
  • Elargissement de l’ostium

92bf73ea614575a478cab36ef4e9b04e.png

polypose polypses