Général
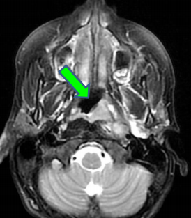
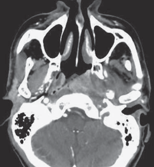
- Site de prédilectiond des carcinomes épidermoïdes naso-pharyngés


rosen rossen rossenmuler rosenmuller rosenmüler rosenmüller rosenmuhler rosenmhuler rosenmuhller
1 min read
Général


rosen rossen rossenmuler rosenmuller rosenmüler rosenmüller rosenmuhler rosenmhuler rosenmuhller