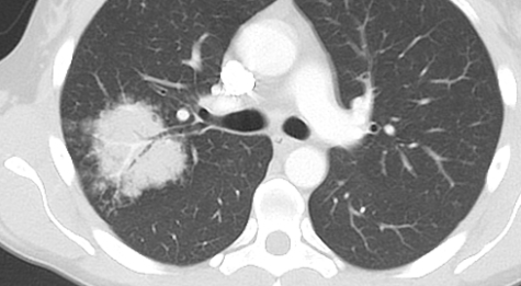
Definition
- Chez les enfants <8 ans ++
- Due à la formation incomplète des pores de Kohn Et de Lambert (collatérales alvéolaires)
- Adulte = formés → infection se propage rapidement dans tout le lobe
- Enfant = incomplets → pneumonie reste locale

RX
- Masse pulmonaire ronde
- Risque = Confondre avec une masse (Neuroblastome), Solution = l’absence de lyse costale

CT
round neumonie pneumonia