Métastase
- Les métas touchent souvent la base du crâne

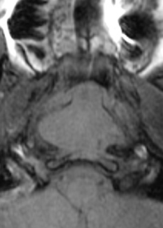
Chordome du Clivus
- Tumeur de reliquat embryonnaire de reliquat du notochorde ( qui donne les corps vertébraux )
- Localement agressive
- Se trouvent sur tout le squelette axial mais Sacro-Coccygien et Base du Crane ++
- Très hyperT2 avec prise de contraste
- Destruction osseuse alentour
- Les jeunes font des chordomes plutot au crane (“ils ont tout dans la tête”), les vieux plutôt sacro-coccygien (“ils unt une baise du QI”)

Macroadénome pituitaire invasif
- Les macroadénomes de l’hypophyse peuvent parfois envahir la base du crane

chrodome