Definition
- Fistule Broncho-pleurale = grosse bronche (plus centrale)
- Fistule Parenchymo-pleurale = VA distales
Général
- La fistulle elle-même n’est pas toujours visible
- Migration caudale de l’hydropneumothorax post lobectomie (Normalement le liquide augmente et l’air régresse)
- Bulles d’air pleural
Etiologie
- Post-chirurgie++ (Dx dans les 2 semaines en général)
- Empyème
- BPCO
- Néoplasie
- Infection nécrotique


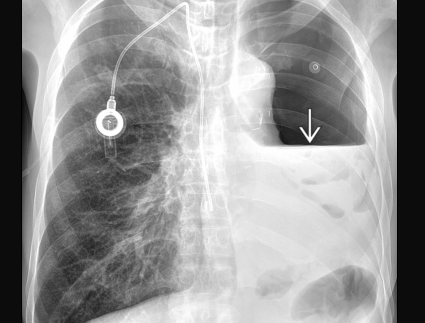
Migration caudale de l’air

Empyème compliqué d’une fistule parenchymo-pleurale
bronchopleural plèvre plevre bronche fistula broncho pleurale parenchymo parenchyme bronchopleurale pleuro broncho pleurale plevre pleurobronchique bronchique bronchi