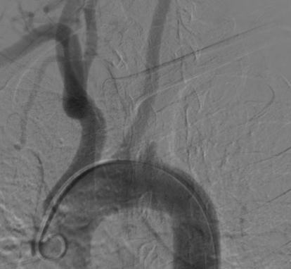
Général
- Sténose sévère ou occlusion de l’artère sous-clavière proximale
- Flux rétrograde dans l’artère vertébrale ipsilatérale
- Du à l’athérosclerose dans 95% des cas
- Peut être egalement du au Takayasu (chez le jeune)
- Phénomène du vol sous clavier: si il y a juste la dérivation de flux
- Syndrome du vol sous-clavier: si il y a des symptomes ischémiques cérébrales associées
- Traitement: endovasculaire vs chirurgie
Clinique
- Bras : Baisse de pouls du bras atteint
- Cerveau: Vertiges, ataxies, …



Video Vol Sous clavier
subclavian steal syndrome sousclavièr sousclavier sous-clavière subclavian sub clavien artère phénomène phenomene phenomenon p