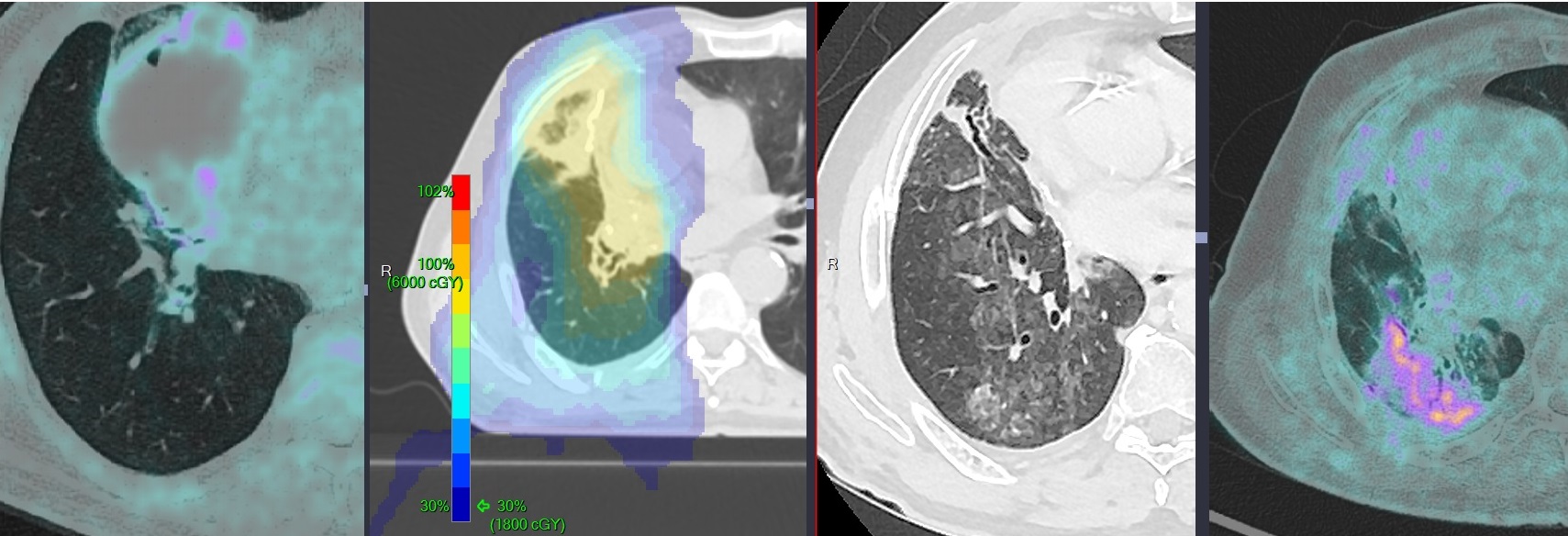
Pneumonie Post-Radique Aigue
Général
- Surivent dans les 4 à 12 semaines de l’irradiation
- Chercher le champ d’irradiation
- Forme de pneumonie orgasinsée sur domage alvéolaire → finit en fibrose
- Condensations nodulaires, verre dépoli

Séquelles Chroniques de Radiothérapie
- Séquelle à long terme (condensations, bronchiectasies)
- Chercher la récidive en bordure


Cas

postradique sequelle stigmate radiotherapie post-radique stigmates
OP organizing pneumonia pneumonite radique postradique radiation radiation therapy