Technique
-
Veine fémorale commune
-
Crosse de la saphène (risque de TVP++ car pas de valve) → Saphène (TVS)
-
Veine fémorale profonde
-
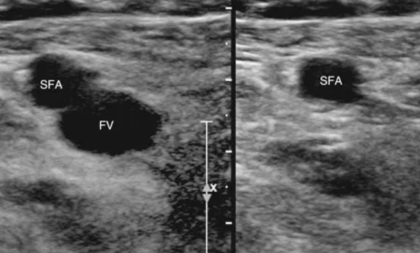
Veine fémorale superficielle (comprimer à 2 mains)
-
Veine poplitée
-
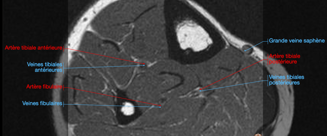
Veine tibiale antérieure
-
Tronc tibioperonier
-
Veine péronière (fibulaire)
-
Veine tibiale postérieure
-
Veine petite saphène (TVS)
Veine cave Inf
- A faire avec sonde abdominale

Veines iliaques
- A faire avec sonde abdominale

Veine fémorale commune

Veine fémorale superficielle

Veine poplitée


Veines Jambières


Schema

Veines jumelles (gastrocnemiennes)
- Veines musculaires les plus importantes de la cuisse
- Font souvent des thromboses
- Ne font rarement d’EP car se jettent dans des structures fibreuses

Canal de Hunter Contient:
- Artères fémorale superficielle (devient poplitée à sa sortie)
- Veine fémorale superficielle
- Nerf saphène

Images

Normal

2 exemples de caillots de TVP
Syndrome post-thrombotique
- Insuffisance veineuse chronique
- Suite à une TVP
- Du à une insuffisance valvulaire
- Clinique: Douleurs, gonflements, varices, décolorationThrombose veineuse profonde MI membres inférieurs superficielle