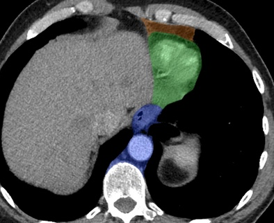
Général

Médiastin Antérieur
- Thymus
- adenopathies
Médiastin moyen
- Trachée
- Aorte ascendante
- Tronc pulmonaire
- Coeur
- adénopathies
Médiastin postérieur
- oesophage
- aorte thoracique descendante
- adenopathies
Classification CT

CT Annoté




médiastin mediastinal mediastinale médiastinal médiastinale