Neurofibromatose de type 1 - Maladie de vonReclkinghausen
Général
- Phakomatose la plus fréquente
- Phakomatose = maladies neuro-cutanées (NF1, NF2, VHL, Sclérose tubéreuse de bourneville, Sturge-Weber)
- Héréditaire: Autosomal dominant
- NF1: gene suppresseur de tumeur
- Neurofibrome vs Neurofibrome plexiforme = Les Neurofibromes sont bénins alors que les Neurofibromes plexiformes ont ++ de chances de dégénérer
CAFE-SPOV

Neuro
- Neurofibromes plexiformes
- Gliomes
- Gliomes des nerfs optiques (des astrocytomes piolcytiques++)
- MPNST
- Vacuoles (hyperT2)

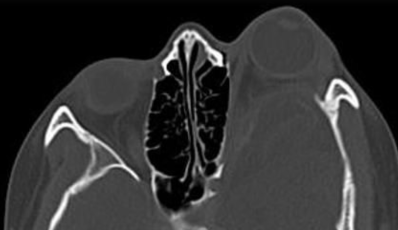
Orbites
- Neurofibromes plexiformes
- Buphtlamie
- Nodules de lisch (Iris) (dermato)

Musculo-squelettique
- Dysplasie de l’aile du sphénoide, asymétrie faciale
- Déformation (Bowing) du tibia → evolue en Pseudarthrose
- Scolioses Enormes
- Ectasie durale
- Neurofibromes musculo-squelettiques


Cutané
- Neurofibromes sous-cutanées
- Taches cafés au lait (dermato)
- Taches de rousseur inguinales/axillaires (Dermato)

Sein
- Neurofibromes sous-cutanées du sein
- Souvents en région péri-aréolaires
- Signe du Halo hypodense = superficiels

neuro fibromatose neurofibronatose