Anatomie

Cellulite pré-septale (péri-orbitaire)

Cellulite orbitaire

Abcès sous-périosté orbitaire
- Vient des sinusites éthmoïdales ++
- Déplace le muscle rectus médial
- Nécessite souvent un drainage urgent

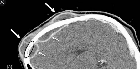
Tumeur bouffie de Pott
Pott Puffy Tumor
- Abcès épicranien
- Complication d’une sinusite frontale
- Souvent abcès épiduraux associés (ou abcès sous-duraux)



pre pré septal septum cellulite orbitaire retroorbitaire rétroorbitaire retro rétro pufy pot tumeur pufy pofy poffy puffy pot tumeur infection abces abscès abcses pottt sousperiosté sousperioste sous perioste orbite orbites