Endofuites
- Type 2: la plus fréquente (75%), basse pression, à surveiller (traiter si progression de >5mm du sac)
- Type 1 et 3: haute pression, a traiter
- Type 4: Ne devrait plus Exister
- Type 5: Fuite a très bas bruit qu’on ne voit pas sur l’artériel et tardif, avec augmentation du sac “sans fuite” → tenter un delayed 5min pour chercher une prise de contraste

Type II vs Type III
- Opacification artérielle précoce du sac, de même densité = haut débit
- Opacification artérielle précoce des artères incluses (asymétrie avec les autres) = haut débit
- Contact avec des jonctions = suspicion type III +++
- Sac opacifié que en postérieur = type II ++ avec lombaires-lombaires
- Sac opacifié antéro-poistérieur = type II ++ avec mésent-inf - lombaires
- Contraste artériel proximal >> distal de l’artère = sens antérograde
TEVAR/EVAR/BEVAR
TEVAR = Thoracic aendo-vascular aortic repair - Diamètre proximaux et distaux doivent être <40mm, sur >20mm - Pour TAA = diamètre de la prothèse 10-15% plus grande - Pour Dissection = diamètre de la prothèse pas plus grande
EVAR = Endo-Vascular Aortic Repair = abdomen++ - Si anévrisme de >5cm ou >1cm par an - Diamètre sous-rénal doit etre <35mm sur 15-10mm, tortuosité de <60° - Si anévrismes iliaques = extensions nécessaires - Ne pas sacrifier les deux iliaques internes sinon problèmes érectiles, ischémies spinales - Diamètre doit être 10-20% plus grand que le collet proximal
BEVAR: Evar avec Branches (parfois FEVAR pour ceux avec fenestrations)
chEVAR: EVAR avec cheminées

Endoprothèse Nellix
Les ballons sont hyperdenses spontanément car remplis de polymère radio-opaque lors du gonflement
Cas
Type 2
Via Artère mésentérique Inférieure
Via Artère polaire et AMI
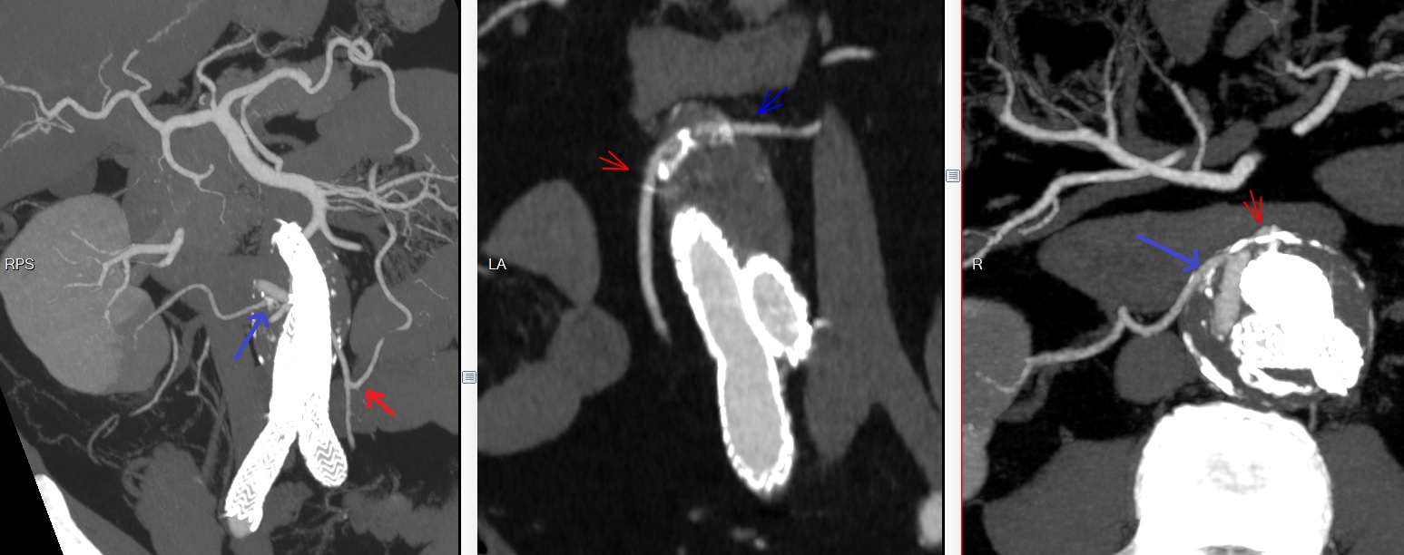
Type 3
IIIc Deconnexion de stent
IIIc Sortant du stent rénal droit
Type 5
Type V avec croissance sur 1.5 an plusieurs mm
chEVAR
Avec cheminée a destinée renale
REF
Videos
- Demo EVAR: https://www.youtube.com/watch?v=Igy4mpl5NQI
REF
- Outcomes of target vessel endoleaks after fenestrated-branched endovascular aortic repair
- Multimodality imaging assessment of endoleaks post-endovascular aortic repair
endo prothese endoprothese BEVAR Fuite endofuite endorpothèses aortique EVAR endovasuclar repari FBEVAR FEVAR F F- F-BEVAR T-EVARneelix neellix nellix nelix