
Général
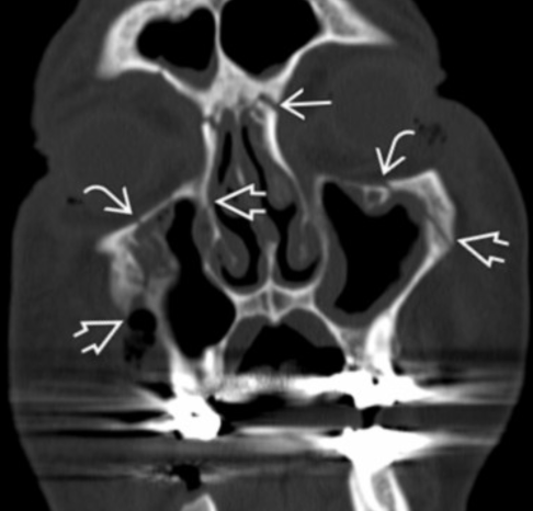
Il faut que les lames ptérigoides soient cassées sinon pas un lefort !
- Fractures séparant le plancher palatin de la base du crane
- Déplacent l’arcade dentaire maxillaire
- Trouble de l’occlusion
- Sont des fractures ouvertes (car passent toutes par un orifice naturelles: nez, sinus maxillaire, cellules ethmoidales)
LeFort Type I
- Passe par le plancher nasal
- Détache le plateau palatin
- Fracture des lames ptérygoides
- Trouble d’occlusion
- Epistaxis

LeFort Type II
- Passe par la région des zygomatiques et supranasale
- Détache le plateau palatin et la pyramide nasale
- Fracture des lames ptérygoides

LeFort Type III
- Passe par l’arcade zygomatique et les orbites
- Détache l’ensemble de l’os facial (dissociation cranio-faciale)

Dans la vraie vie
- Souvent une composante mixte
- Souvent une latéralisation

Ostéotomies

midface le fort maxillaire faciale trauma I II III le fort trauma traumatisme