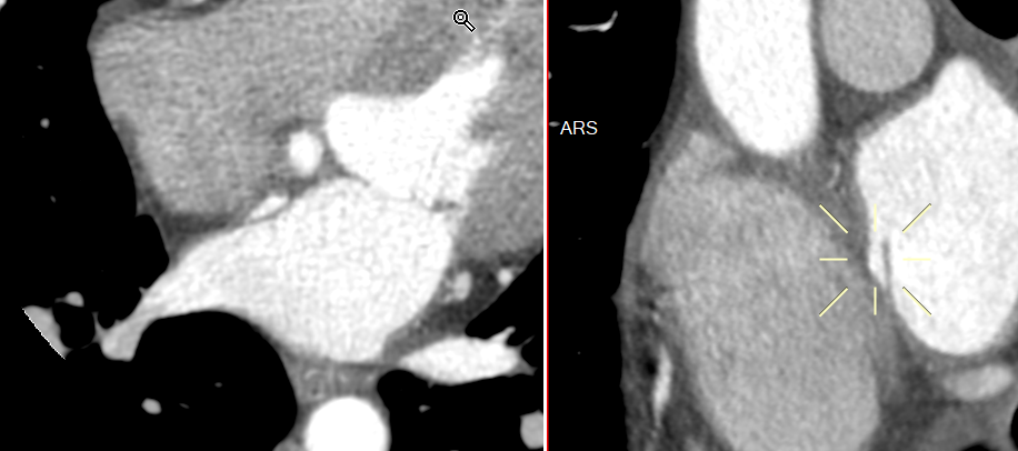
Septum Complet
- Septum fermé complètement
- Pas de flap résiduel


Variante “channel-like”
- Fusion incomplète du septum
- Fréquent
- Asymptomatique ++
- Certains cas sont associés à un FOP

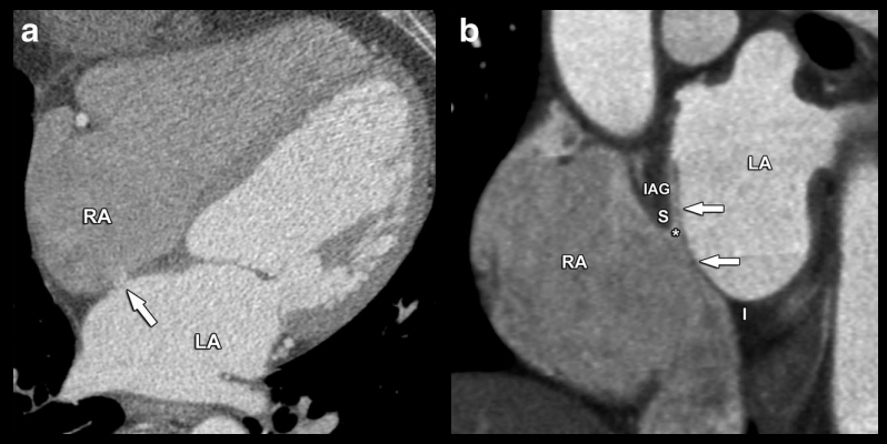
Foramen Ovale Perméable (FOP)
- Fuite de contraste entre OG → OD
- On peut voir la valve formée par le septum primum résiduel
- TTT: Double ombrelle (Amplatzer®)

Anévrisume du septum
- Protrusion de >10mm
- Dans le sens droit ou dans le sens gauche
- Rare

Defects du septum
- Cf article dedié
Diverticule Atrial
- Sans muscle pectiné
Auricule Accessoire
- Avec muscle pectiné

Ref
interatrial septal septal sia cia auricule auriculaire chanel channel channellike chanellike tunel tunnel flap catherine fop atrium oreillette oreilette