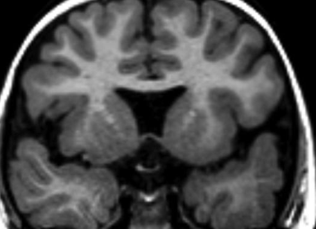
Général
- Absence de Septum pellucidum
- Hypoplasie du chiasma optique
- Associée à la schizencéphalie ++

morisier morsier dysplasies seto septo septootique septooptique optique optiques PED
1 min read
Général

morisier morsier dysplasies seto septo septootique septooptique optique optiques PED