Poster Resumé: https://www.canva.com/design/DAFlsQ-SkMc

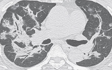
UIP (PIC)
IFP/ FPI = clinique, à ne pas utiliser
- Fibrose (reticulations, bronchiectasies de traction)
- Rayon de Miel++
- Quelque verre depoli focal (plages actives de la maladie)
- Gradient apcio-basal (= prédomine en basal)
- Chercher un Cancer se développant aux limites de l’atteinte !
- UIP typique (avec rayon de miel) ou probable (sans rayon de miel) = on évite une biopsie potentiellement fatale au patient
- UIP indéterminée = on rejette et cherche une autre cause
- Sclerodermie possible (fait surtout des NSIP)
- Patients de >50 ans ++


NSIP
- Deux histo: NISP Fibrosante vd Cellulaire (meilleur pronostic, plus rare)
- Verre dépoli, à distance de la fibrose (du VD sur la fibrose = probable fibrose microscopique)
- Réticulations sous-pleurales bilatérales
- Bronchiectasies de traction
- Bronchectasies proximales
- Prédomine au base
- Pas de rayon de miel (ou rare)
- Epargne Sous pleurale (spécifique++ mais vu que dans 30% des cas, surtout au stade précoce)
- Plus rare que l’UIP (commence à 50 ans au lieu de 60)
- Origine:
- Medicamenteuse (Amiodarone, metothrexate, Chimiothérapies)
- Syndrome systémique (Sclerodermie, Dermatomyosite-Polymyosite, PR,…)
- Rarement “Idiopathique”
- Traitement: corticoides, aziathioprine

Pneumonie organisante (OP)
Général
- Processus de réparation caricatural du parenchyme pulmonaire (tissus de granulation)
- Idiopathique (COP) ou plus fréquememnt secondaire à des Syndromes systémiques (Polymyosite), Infections, Inflammations, Médicaments, MICI
- Débris inflamamtoires dans les alévoles, tissus de granulation (corps de Masson) dans les bronchioles
- Clinique: Toux chronique, perte de poids, etat pseudo-grippal
- Souvent une “Pneumonie” qui ne répond pas aux antibiotiques
- TTT: Corticoïdes - > l’OP est censé répondre
CT
- Consolidations en patch, Verre dépoli
- Distribution sous-pleurale et péribronchovasculaire
- Bilatérales ++, Asymétriques
- Caractère Fugace et Migrateur
- Parfois forme nodulaire (plusieurs petits nodules d’aspect différents)
- Reverse Halo sign (Atoll sign = 20% des cas mais spécifique)
- Bandes de Condensations Hilo-périphériques contenant des bronchogrames aériques (spécifique)
- Elargissement bronchiques (pas parler de fibroses tt de suite)
Consolidations et VD sous-pleural et péribronchovasculaire
Reverse Halo Sign, Bandes de condensations hilo-périphériques avec bronchogramme aérique
RB / RB-ILD
Respiratory Bronchiolitis Interstitial Lung Disease
- Spectre RB - RB-ILD - DIP du fumeur
- Gros fumeurs, jeunes
- Macrophages pigmentés dans les alvéoles
- Nodules lobulaires mal définits aux plages supérieures
- Régressent après l’arrêt du tabac
- RB = trouvaille incidentelle sans symptomes
- RB-ILD = avec symptomes/retentissement
- Empyhsèmes et bronchites du fumeur associés

nodules centrolobulaires à contours flous, epargne sous pleurale, prédominance au lobe sup, régression après l’arrêt du tabac
Desquamative Interstitial Pneumonia (DIP)
- Spectre RB - RB-ILD - DIP du fumeur
- Forme plus sévère, plus rare (gros fumeurs, 6-30% de mortalité)
- Macrophages pigmentés dans les alvéoles
- Plaques de verre dépoli bilatéral
- Prédominant en sous-pleural et aux bases
- Souvent emphysème surajouté
- Possibles kystes
- Peut évoluer en fibrose

Plages de VD bilatéral, souspleural
Lymphoïd Interstitial Pneumonia (LIP)
Pneumonie interstitielle lymphocytaire
- Spectre des maladies lymphoprlolifératives pulmonaires
- Sjogren ++ ou En réponse à une exposition virale (VIH, EBV)
- Kystes péribroncho-vasculaires et/ou sous-pleuraux
- (on peut voir des petits “nodules muraux” dans la paroi du kyste)
- Epaississement des septas
- Nodules centro-lobulaires flous / Verre Depoli
- Attenuation mozaique
- Regression sous immunothérapie
- Rare évolution en lymphome (MALT pulmonaire)

PID Progressive
Général
- Toute PID Fibrosante Progressive qui n’est pas une UIP
- 25% des PID fibrosantes non-UIP vont quand même avoir une aggravation rapide
- Intéret de leur donner aussi des anti-fibrotiques comme les UIP
- Plus de risque chez les AFOP et les Fibroelastoses

Definition de “Progressive”
- 2 critères de progression sur 3 categories (Clinique, Fonctions Pulm, Radiologie)
- Au Scanner, Favoriser le Sagittal et ne pas oublier l’évolution des scissures

Majoration des bronchectasies de traction, mieux vu en Sagittal
Majoration des reticulations intra-lobulaires
Majoration et apparition du rayon de miel
Trucs et Astuces
Protocoles
- Recherche de NSIP = Faire le Decu-Procubitus d’emblée (car le verre dépoli est la lésion principale)
- Recherche d’atteinte interstitielle plus globale = faire Décu d’abord et voir si procu complément (car plus confortable pour le patient)
Troubles Ventilatoires (Anomalie Fonctionelle) vs Vrai Interstitiel ?
- Peut se voir sous forme de VD ou de bandes sous-pleurales arciformes
- MIP = si les VX distaux sont tortueux ou touchent la paroi = pas bien inspiré
Le MiniMIP pour préciser l’atteinte interstitiel
- Le faire en FILTRE MOU sinon moche
- Permet de mieux comprendre le VD et les Réticulations
- Permet d’être sur que c’est des kystes et pas des mega-bronchiectasies-aggultinnées dans le rayon de miel d’UIP
Ref
PIC: Diagnostic criteria for idiopathic pulmonary fibrosis: a Fleischner Society White Paper
Cas
UIP (PIC)
Progressives
NSIP
Sur Sclerodermie
RB-ILD
RB-ILD avec symptomes cliniques
Pneumonie Organisante
PO sur Immunothérapie
lymphocytique lymphocytic lymphoïde PILorganisée organising organizing OP COP cryptogénique cryptogenique cryptogenic Anciennement BOOPPINSIPF NSIP COP RB-ILD RBLID CVF DLCO RB-LID RBILD DIP LIP PID PIL PIA PAI AIP POC PISN FPI FIP pneumonies RBLID RB LID RBILD lymphoide migration migration BOOP UPF UPI IFP IPF FPI UIP IPU PID DIP honey honeycombing combing combe rx mielle rayondemiel