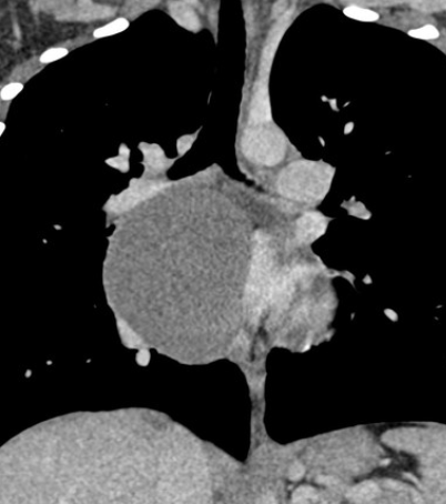
Fréquence
- Bronchique = Lésion kystique médiastinale la plus fréquente
- Oesophage = Plus rare
Symptomes
- Bronchique = Plutôt asymptomatique
- Oesophage = Peut être symptomatique
- PAS de risque de transformation maligne
Localisation
- Bronchique = Sous-carinaire++
- Oesophage = Proche de l’oesophage

Paroi
- Bronchique = paroi fine
- Oesophage = paroi plus épaisse (présence de muscle lisse)

Composition
- Les deux peuvent avoir un contenu liquidien ou protéique
- Peuvent se compliquer: hémorragique, surinfection

Bilan
- FNA possible mais risque d’infection et complication
foregut gut fore duplic duplication dupliquation enterique entérique kystique cyste bronch bronchogenique bronchogénique esophage esophagien oesophage oesophagien enterique entérique esophagienne