Lésion de la chambre antérieure
- Lacération de cornée
- Perte de volume de la chambre antérieure ++

Luxation du cristallin
- Plus facile chez les Marfan (non vu chez les Ehler-Danlos)


Rupture du globe occulaire
- Perte de volume
- “Flat tire sign”

Décollement rétinien

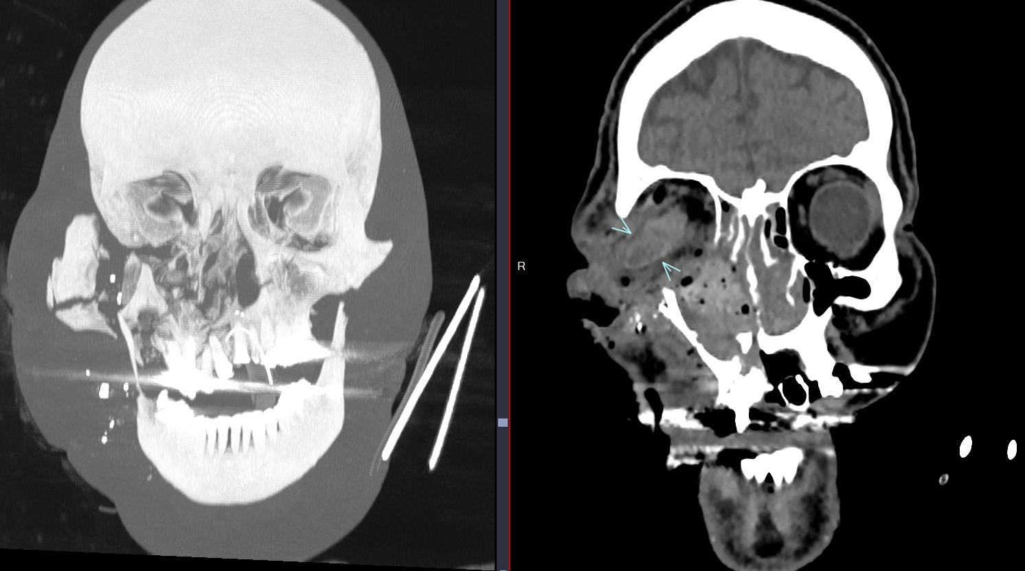
Cas
Sur Plaie par balle avec fracas facial
laceration laceration traumas traumatisme dechirure déchirures lesion decollement retinien de la retine rétine lesion anterieure