Général
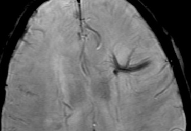
- Low-Flow → Pas touche
- Veine anormale mais fonctionnelle
- Aspect en tete de méduse (ne pas confondre avec nidus de la MAV Cérébrale)
- Parfois associées à un Cavernome (risque de saignement plus important)
- Malformations vasculaires High flows (shunt) = MAV et dAVF
- Malformations vasculaires Low flows (no shunt) = DVA, Telangiectasie capillaire, Cavernome

Venous developement developpement anomaly