Général
- Distraire l’enfant (jouet, lampes, Ipad)
- Dosete de sucre G30% pour calmer les bébés
- Utiliser du gel chauffant
Séquence
- Commencer par la vessie (font pipi sinon)
- Faire les vaisseaux ensuite (dès qu’ils pleurent l’air gache tout)
- Flanc et HC Droit (invaginations et pylore)
Volvulus sur malrotation
- La pathologie +++ urgente car risque d’ischémie intestinale
- Vomissement biliaire du NN = volvulus jusqu’à preuve du contraire
- Dans le premier mois de vie
- Clinique: Vomissement biliaire (vert) et ventre non distendu (occlusion très aigue)
- Inversion AMS ←> VMS
- Signifie malrotation mais pas forcément volvulus
- Si vaisseaux en place, diagnostic peu probable
- Whirlpool sign
- Signifie voluvuls
- VMS qui s’enroule autour de l’AMS


- Transit baryté:
- malposition de l’angle de Treitz
- Anses grêles proximales à droite
- Aspect en “Corckscrew” (tire-bouchon)

- Traitement Chirurgical
- Operation de Ladd
- Enlever les bandes de Ladd
Invagination intestinale
- 3 mois - 3 ans
- Crises douloureuses intermittentes
- Vomissements, Rectorragies (sang en groseille)
- Formes
- Iléo-Colique++
- Iléo-Iléale
- Colo-Coliques
- Attention aux invaginations greles transitoires
- Physiologiques
- Pas de méso dans l’invagination
- Sur un court segment
- Disparait quand on y retourne après l’examen

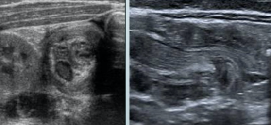
- Imagerie
- Sous-hépatique ou Flanc droit ++
- Syndrome de masse (Peut faire la taille d’un Rein)
- Cocarde (axial) ou Rail (longitudinal)

- Traitement: Lavement thérapeutique (air, eau, contraste)

Lavement à l’air avec sonde rectale
Sténose du pylore
- 3 semaines - 2 mois (pic à 1 mois)
- Garcons++ (9 garcons pour 1 fille)
- Vomissements en jets (laiteux)
- Perte de poids, deshydratation, enfant affamé
- Imagerie
- Hypertrophie du muscle pylorique (>3mm)
- Elongement du pylore (>16mm)
- Distension gastrique
- Pylore convexe, au contact de la vésicule biliaire
- Vesicule biliaire = bon point de repère pour trouver le pylore

nourison nourrison nourrisson